Вы когда-нибудь задумывались, насколько быстро может измениться жизнь? Инсульт – это состояние, которое может произойти внезапно и иметь серьезные последствия. По статистике, инсульт является одной из ведущих причин инвалидности и смерти во всем мире. Ключевое слово в этой статье – инсульт, и мы подробно рассмотрим его симптомы, а также действия, которые необходимо предпринять для спасения жизни. Важно помнить, что время – решающий фактор при инсульте, и каждая минута имеет значение.
Что такое инсульт?
Инсульт – это острое нарушение мозгового кровообращения, вызванное прекращением или уменьшением притока крови к определенной области мозга. Существуют два основных типа инсульта: ишемический и геморрагический. Ишемический инсульт возникает из-за закупорки сосуда, чаще всего тромбом, что приводит к кислородному голоданию мозга. Геморрагический инсульт, напротив, возникает из-за разрыва сосуда и кровоизлияния в мозг. Причины инсульта разнообразны, но основными факторами риска являются высокое артериальное давление, высокий уровень холестерина, сахарный диабет, курение и ожирение. Я сам видел, как инсульт меняет жизни людей, и это заставляет меня серьезно относиться к профилактике.
Симптомы инсульта у мужчин
Распознать инсульт у мужчин может быть непросто, особенно на ранних стадиях. Классические признаки включают внезапную слабость или онемение в лице, руке или ноге (чаще с одной стороны тела), нарушение речи, трудности с пониманием речи, внезапную головную боль без видимой причины, головокружение, потерю равновесия или координации. Однако существуют и неочевидные признаки, на которые стоит обратить внимание: внезапное ухудшение зрения в одном или обоих глазах, спутанность сознания, трудности с глотанием. Недавно мой сосед почувствовал слабость в руке, и мы сразу же вызвали скорую. К счастью, ему вовремя оказали помощь.

Симптомы инсульта у женщин
Симптомы инсульта у женщин могут отличаться от мужских. В то время как классические признаки, такие как слабость в конечностях и нарушение речи, встречаются и у женщин, у них чаще наблюдаются атипичные симптомы. К ним относятся внезапная головная боль, тошнота, рвота, боль в челюсти, боль в спине, слабость или онемение всего тела, а также чувство внезапной общей слабости или недомогания. Важно помнить, что эти симптомы могут быть легко пропущены или приняты за другие заболевания. Моя тетя долгое время жаловалась на головные боли, которые списывала на усталость, пока не выяснилось, что это был инсульт.
Первая помощь при инсульте
Первая помощь при инсульте – это критически важный этап, который может значительно повлиять на исход заболевания. Первое, что нужно сделать, – это немедленно вызвать скорую помощь. Пока ждете скорую, необходимо: уложить пострадавшего в удобное положение, обеспечить ему доступ свежего воздуха, расстегнуть воротник и ослабить ремень. Важно следить за дыханием и пульсом пострадавшего. Если пострадавший находится в сознании, постарайтесь успокоить его и задавать простые вопросы, чтобы оценить его состояние. Не давайте пострадавшему ничего пить или есть, так как это может привести к аспирации (попаданию пищи или жидкости в дыхательные пути). Алгоритм действий можно запомнить по аббревиатуре УДАР: У – улыбка, Д – движение, А – речь, Р – решение (вызвать скорую). Я всегда напоминаю своим близким об этом простом алгоритме.
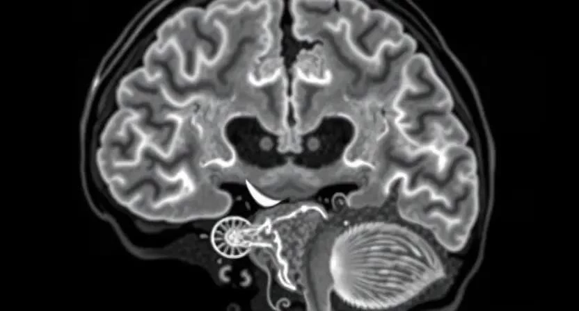
Диагностика инсульта
Диагностика инсульта требует быстрого и точного обследования. Основными методами обследования являются компьютерная томография (КТ) и магнитно-резонансная томография (МРТ) головного мозга. КТ позволяет быстро выявить кровоизлияние в мозг, а МРТ – более точно определить область поражения и тип инсульта. Также проводятся анализы крови для оценки уровня холестерина, сахара и других показателей, которые могут указывать на факторы риска инсульта. Важно как можно быстрее поставить диагноз, чтобы начать лечение в кратчайшие сроки. Врачи должны действовать оперативно, чтобы минимизировать повреждение мозга.

Лечение инсульта
Лечение инсульта зависит от типа инсульта и тяжести состояния пациента. При ишемическом инсульте применяются тромболитические препараты, которые растворяют тромб и восстанавливают кровоток. При геморрагическом инсульте может потребоваться хирургическое вмешательство для удаления гематомы и остановки кровотечения. После острого периода инсульта начинается этап реабилитации, который включает физиотерапию, логопедию и эрготерапию. Цель реабилитации – восстановить утраченные функции и улучшить качество жизни пациента. Я знаю людей, которые после инсульта смогли вернуться к полноценной жизни благодаря упорной реабилитации.
Профилактика инсульта
Профилактика инсульта – это лучший способ избежать этого серьезного заболевания. Основными факторами риска инсульта являются высокое артериальное давление, высокий уровень холестерина, сахарный диабет, курение и ожирение. Для снижения вероятности развития инсульта необходимо: контролировать артериальное давление и уровень холестерина, следить за уровнем сахара в крови, бросить курить, поддерживать здоровый вес, регулярно заниматься физическими упражнениями и придерживаться здорового питания. Я стараюсь вести активный образ жизни и правильно питаться, чтобы снизить риск инсульта.
Последствия инсульта
Последствия инсульта могут быть различными и зависят от области поражения мозга и тяжести инсульта. Возможные осложнения включают паралич или слабость в конечностях, нарушение речи, трудности с глотанием, нарушение зрения, нарушение памяти и мышления, депрессию и тревожность. Жизнь после инсульта может быть сложной, но при правильной реабилитации и поддержке близких люди могут адаптироваться к новым условиям и вернуться к полноценной жизни. Важно помнить, что инсульт – это не приговор, и всегда есть надежда на улучшение.
FAQ
Что делать, если я подозреваю у кого-то инсульт? Немедленно вызовите скорую помощь и следуйте алгоритму УДАР.
Какие факторы риска инсульта можно изменить? Высокое артериальное давление, высокий уровень холестерина, сахарный диабет, курение и ожирение.
Как долго длится реабилитация после инсульта? Длительность реабилитации зависит от тяжести инсульта и индивидуальных особенностей пациента.
Можно ли предотвратить инсульт? Да, соблюдение здорового образа жизни и контроль факторов риска могут значительно снизить вероятность развития инсульта.
Какие анализы нужно сдавать для профилактики инсульта? Анализы крови на холестерин, сахар, свертываемость крови и другие показатели.
Таблица 1: Симптомы инсульта у мужчин и женщин
| Симптом | Мужчины | Женщины |
|—|—|—|
| Слабость в конечностях | Часто односторонняя | Может быть двусторонняя или общая слабость |
| Нарушение речи | Часто выраженное | Может быть менее заметным, трудности с подбором слов |
| Головная боль | Редко | Часто, может быть сильной и внезапной |
| Головокружение | Часто | Часто |
| Тошнота и рвота | Редко | Часто |
| Спутанность сознания | Часто | Часто |
Таблица 2: Первая помощь при инсульте
| Действие | Описание |
|—|—|
| Вызов скорой помощи | Немедленно |
| Уложить пострадавшего | В удобное положение, с приподнятой головой |
| Обеспечить доступ свежего воздуха | Открыть окно |
| Расстегнуть воротник и ремень | Для облегчения дыхания |
| Следить за дыханием и пульсом | До приезда скорой помощи |
| Не давать пить или есть | Во избежание аспирации |
Таблица 3: Факторы риска инсульта
| Фактор риска | Описание | Как снизить риск |
|—|—|—|
| Высокое артериальное давление | Повышает нагрузку на сосуды | Контролировать давление, принимать лекарства |
| Высокий уровень холестерина | Способствует образованию бляшек в сосудах | Следить за питанием, принимать лекарства |
| Сахарный диабет | Повреждает сосуды | Контролировать уровень сахара в крови |
| Курение | Повреждает сосуды и повышает риск образования тромбов | Бросить курить |
| Ожирение | Повышает риск развития других факторов риска | Поддерживать здоровый вес |
